10月2日,美国食品药品监督管理局(FDA)批准芦比替定(赞必佳, Zepzelca,lurbinectedin)联合atezolizumab(阿替利珠单抗)用于在接受以阿替利珠单抗与透明质酸酶-tqjs、卡铂和依托泊苷组成的一线诱导治疗后疾病未进展的成人广泛期小细胞肺癌(ES-SCLC)患者的维持治疗。
免疫管家 2025-10-10
百年来,手术、放疗和药物治疗一直是癌症治疗的主要支柱。这些方式单独使用或联合使用,极大地改善了癌症患者的治疗结果,但改善生存率和生活质量的重大需求仍未得到满足。而肿瘤电场疗法(TTFields)作为一种新兴的癌症治疗手段,副作用轻微,近年来在肿瘤治疗领域引起了广泛关注。
免疫管家 2025-10-10
近日,Novocure宣布肿瘤电场治疗(TTFields)用于非小细胞肺癌(NSCLC)脑转移的3期METIS试验的最终结果在2025年美国放射肿瘤学会(ASTRO)年会上公布,并同时发表在《国际放射肿瘤学、生物学和物理学杂志》上。
免疫管家 2025-09-30
VB10.NEO 是一种基于 DNA 的个性化新抗原疫苗,2025年美国临床肿瘤学会上公布了VB10.NEO与 atezolizumab用于晚期实体瘤患者的1b 期 VB N-02 试验的最终分析。
免疫管家 2025-09-29
质子治疗是一种放射疗法。在常规的放射治疗中,使用的是被称为光子线的电磁波,如X射线和伽马射线来进行治疗;而在质子线治疗中,则使用一种称为质子线的放射线来进行治疗。
免疫管家 2025-09-29
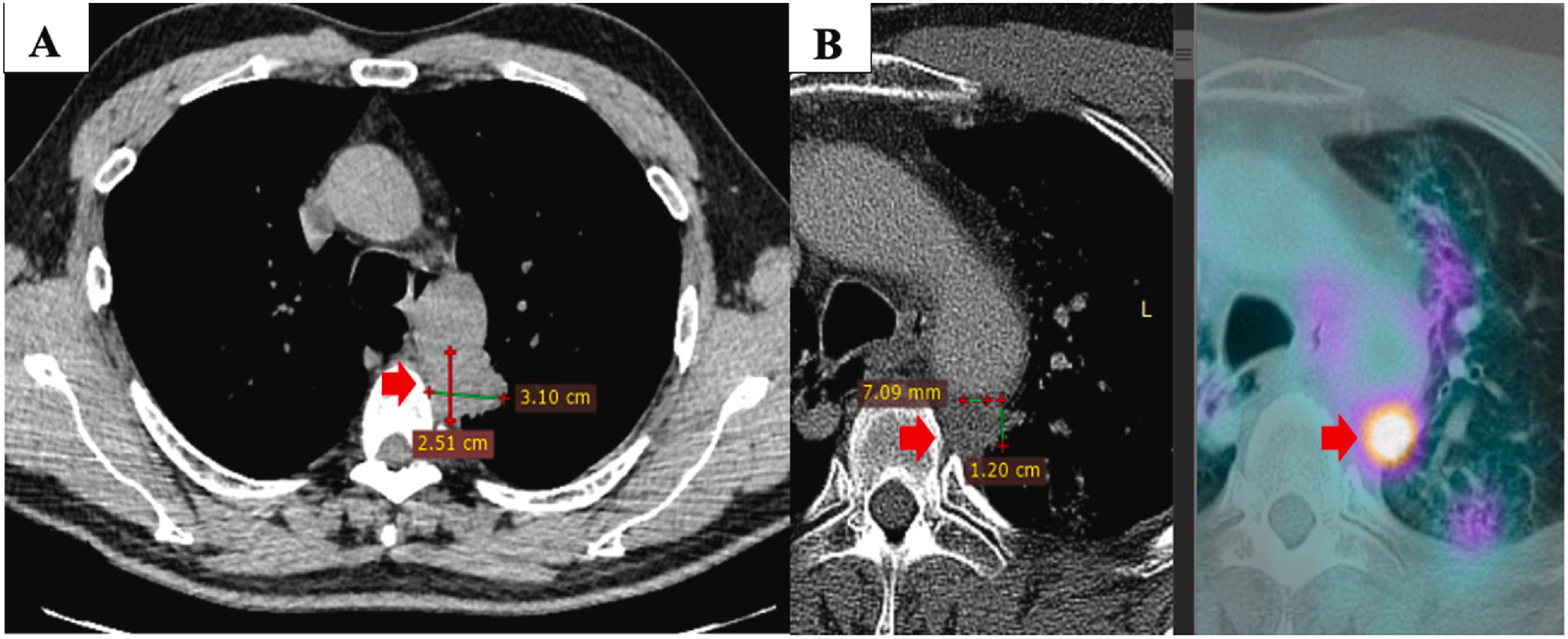
9月25日,国家药品监督管理局药品审评中心(CDE)显示:Ifinatamab Deruxtecan (I-DXd, DS-7300a)拟纳入突破性治疗,用于治疗在含铂化疗期间或之后出现疾病进展的广泛期小细胞肺癌成人患者。
免疫管家 2025-09-26
近年来,细胞免疫疗法一直是一个令人鼓舞的发展领域。嵌合抗原受体(CAR)T细胞疗法在血液系统恶性肿瘤中的成功应用展示了细胞免疫疗法的巨大潜力。然而,CAR-T疗法在治疗实体瘤的疗效有限(实体瘤占所有癌症的90%以上)。这是由于CAR-T细胞只能识别位于细胞表面的抗原,相比之下,T细胞受体(TCR)工程化T细胞疗法(TC...
免疫管家 2025-09-24
9月23日,科伦博泰的转染过程中重排(RET)小分子激酶抑制剂项目A400(亦称EP0031)的一项新药上市申请(NDA)已获中国国家药品监督管理局(NMPA)药品审评中心(CDE)受理,用于治疗RET融合阳性局部晚期或转移性非小细胞肺癌(NSCLC)成人患者。
免疫管家 2025-09-23
在癌症治疗中,放射治疗是一把双刃剑,这种治疗方式在杀灭癌细胞的同时难免伤及健康组织。而质子治疗的出现,为癌症患者带来了精准治疗选择。
免疫管家 2025-09-19
在人类与疾病抗争的漫长历史中,我们对抗癌症的武器库一直在不断演进。手术、化疗、放疗、靶向药物等每一代疗法都带来了新的希望。随着生物技术的飞速发展,免疫疗法在21世纪崭露头角,为癌症患者带来了新的希望。这种疗法不再直接攻击癌细胞,而是调动身体自身的防御系统来对抗疾病。其中,自然杀伤(NK)细胞疗法以其独特的优势和巨大的潜...
免疫管家 2025-09-19

京ICP备2024050367号 | 互联网药品信息服务资格证书:(京)-非经营性-2024-0007
Copyright ©
康和源(北京)健康科技有限公司 版权所有 https://www.myimm.net