CAR-T细胞治疗是一种使用患者自身T细胞来对抗癌症的免疫疗法。T细胞在免疫系统中发挥着至关重要的作用,是人体抵御感染和疾病的防御手段。
免疫管家 2025-09-30
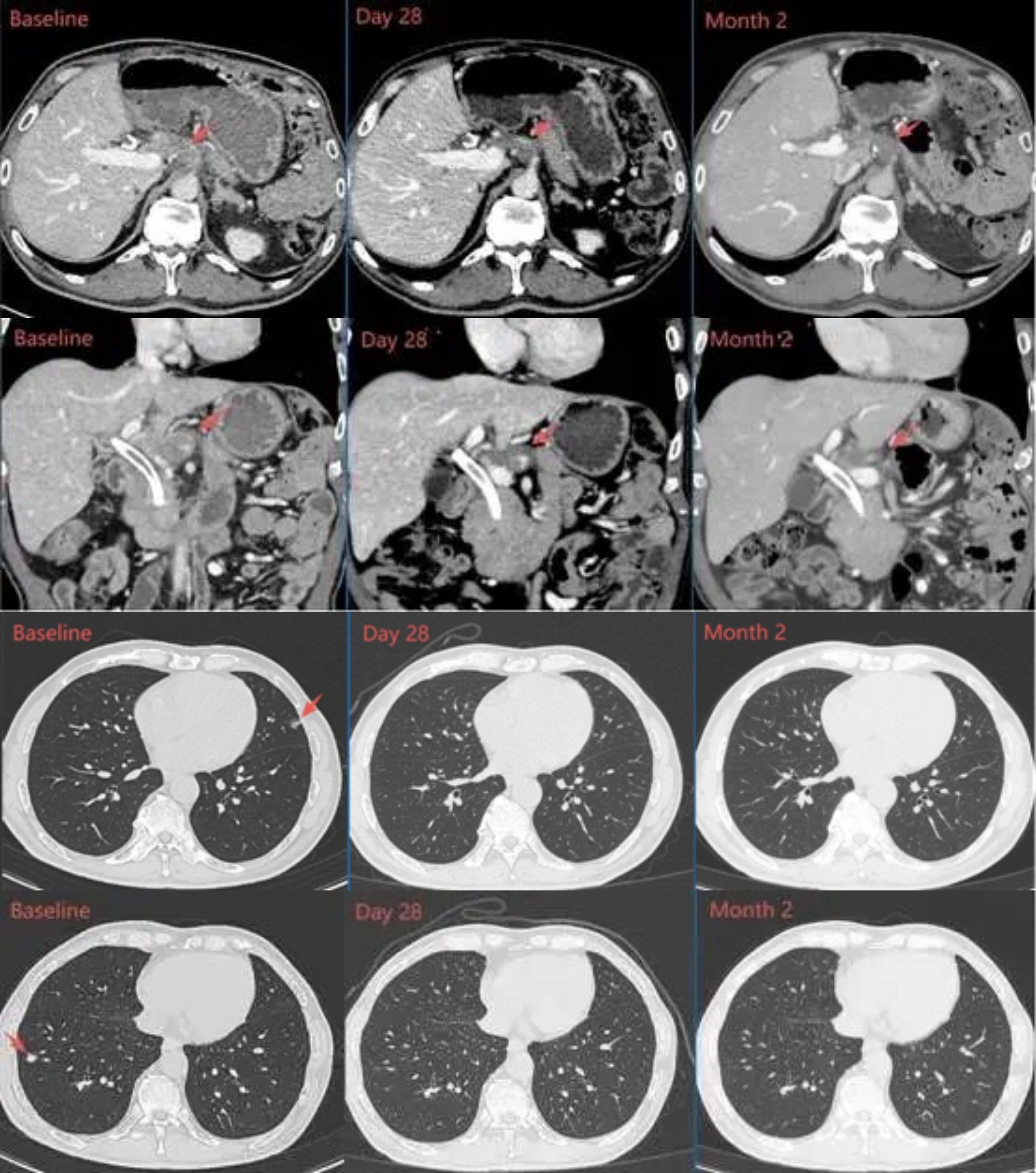
9月25日,华昊中天宣布,其核心产品优替德隆再次被美国食品药品监督管理局(FDA)授予孤儿药资格认定,适应症为胰腺癌。这是继乳腺癌脑转移和胃癌之后,优替德隆被FDA授予的第三项孤儿药资格。
免疫管家 2025-09-29
在人类对抗癌症的漫长史诗中,疫苗始终是一个特殊的存在。在我们的传统认知中,疫苗是“防病于未然”的盾牌。自1796年爱德华·詹纳博士开发出第一种预防天花的疫苗以来,各种有助于控制甚至根除人类和动物的局部和全球传染病的疫苗层出不穷。这些疫苗的成功让科学家看到了它们在癌症治疗领域的可能性,因此进行了大量研究,旨在通过刺激免疫...
免疫管家 2025-09-28
CAR-NK细胞疗法将称为嵌合抗原受体(CAR)的分子连接到自然杀伤(NK)细胞上来增强人体对抗癌症的先天能力。这些受体使增强的CAR-NK细胞能够识别和攻击癌细胞表面的靶标,而部分癌细胞最初在没有CAR的情况下是“不可见的”。
免疫管家 2025-09-26
近年来,免疫疗法发展迅速,为癌症治疗提供了超越手术,传统化疗和放疗的新方法,开创了癌症治疗的新时代。免疫检查点抑制剂和细胞免疫治疗是近年来的研究热点。癌症疫苗作为一种研究中的免疫疗法,在临床试验中也得到了广泛的研究,并显示出广阔的应用前景。
免疫管家 2025-09-22
近年来,T细胞受体(TCR)工程化T细胞疗法(TCR-T)在治疗转移性黑色素瘤、滑膜肉瘤、非小细胞肺癌和人瘤病毒(HPV)相关癌方面显示出良好的临床疗效后,已成为一种越来越有前景的抗癌疗法。它究竟是什么?又如何在关键时刻力挽狂澜?让我们通过真实案例,揭开这项前沿疗法的神秘面纱。
免疫管家 2025-08-29
癌症疫苗与常规疫苗类似,同样被设计用来“教育”免疫细胞,使其认识到癌细胞是外来入侵者,需要被清除。 癌症的特征是细胞不受控制地生长,这些细胞可以在身体的任何部位发育,如果不及时治疗,可能会扩散到其他器官。而我们每个人的免疫系统是一种复杂而强大的防御机制,可以保护身体免受病毒和细菌等病原体的入侵,还可以保护我们免受...
免疫管家 2025-08-25
2025年8月19日,一项重大消息为治疗方案有限的患者带来了新的希望:再鼎医药宣布,肿瘤电场治疗仪(TTFields)已获得中国国家药品监督管理局(NMPA)的“创新医疗器械”认定,这是基于其在PANOVA-3研究第三阶段的积极成果。这意味着TTFields将加快其在国内市场的审批进程,这或许能让更多胰腺癌患者获得这种...
免疫管家 2025-08-21
8月19日,再鼎医药宣布,基于3期PANOVA-3研究的阳性结果,国家药品监督管理局授予肿瘤电场治疗仪(TTFields)用于胰腺癌患者的创新医疗器械认定。该认定能够让TTFields按照创新医疗器械特别审查程序进行审评,使国家药品监督管理局优先分配审评资源,从而加速该产品的上市注册进程。
免疫管家 2025-08-20

京ICP备2024050367号 | 互联网药品信息服务资格证书:(京)-非经营性-2024-0007
Copyright ©
康和源(北京)健康科技有限公司 版权所有 https://www.myimm.net