1994年,Jarmo腿上的一颗癌性痣被切除了。他的医生及早发现了癌变,并认为癌细胞不太可能扩散。 然而,多年后的 2009 年,癌症在 Jarmo 左侧腹股沟的一个淋巴结中复发。医生成功切除了这个癌变淋巴结,但伤口上方又出现了一个肿瘤,并且对包括手术和常规放疗在内的多种疗法均产生抵抗。
免疫管家 2026-03-25
2026年2月3日,临床阶段生物技术公司Replimune宣布,其核心溶瘤病毒疗法RP1(vusolimogene oderparepvec)联合纳武利尤单抗(抗PD-1药物)用于治疗抗PD-1疗法失败的晚期黑色素瘤的生物制品许可申请(BLA),已获美国FDA受理,并定了2026年4月10日的PDUFA(处方药用户费用...
免疫管家 2026-03-25
1994年,Jarmo腿上的黑色素瘤被切除,医生认为早期发现不太可能扩散。然而15年后,癌症在他的左腹股沟淋巴结复发。尽管手术切除了癌变的淋巴结,但伤口上又长出了新的肿瘤,对手术和常规放疗等多种治疗产生了抵抗。 就在传统治疗手段几乎用尽时,Jarmo的医生们想到了一个当时还处于临床试验阶段的新技术-硼中子俘获疗法...
免疫管家 2026-03-24
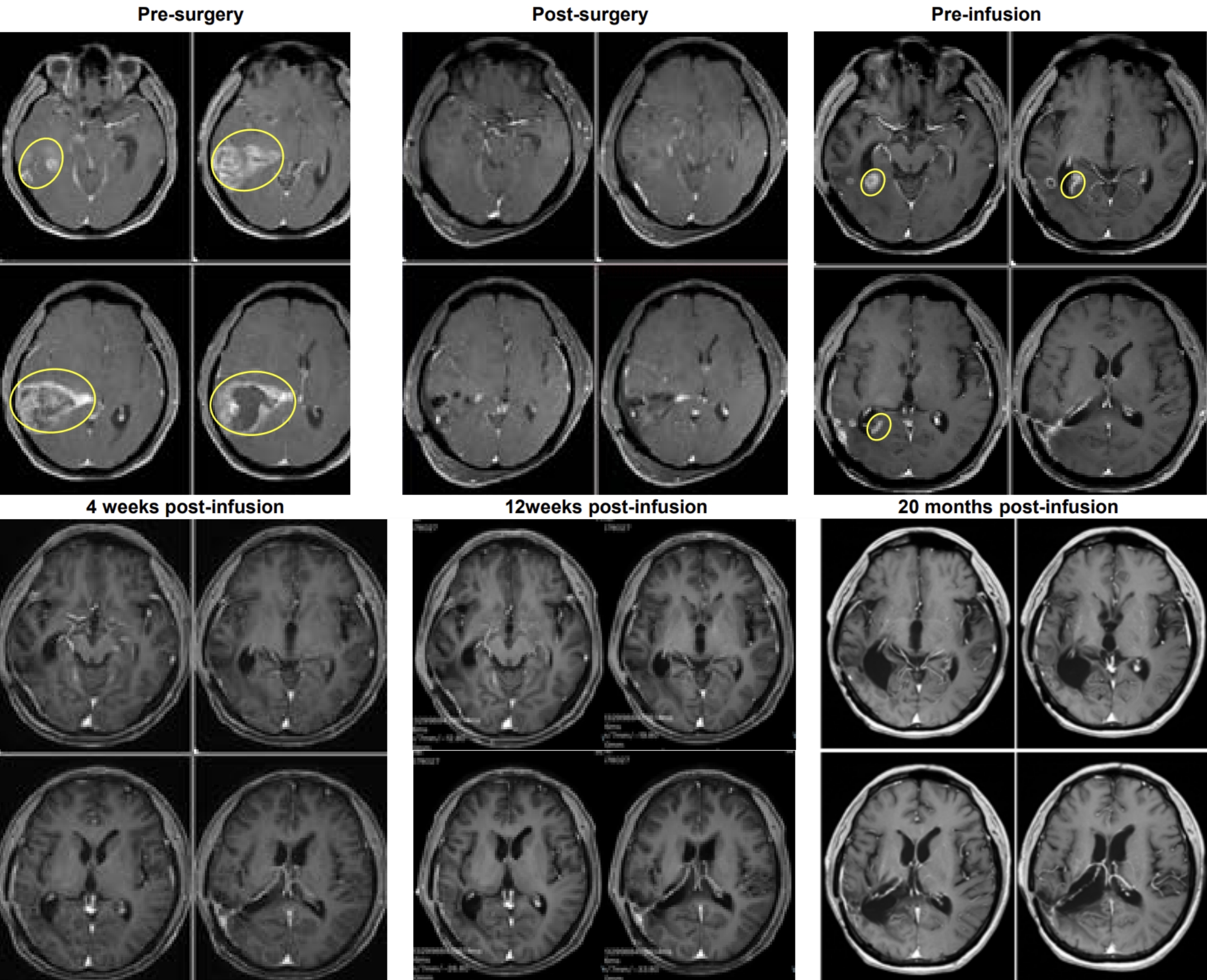
2013年,美国俄亥俄州的Missy发现眼睑有个小肿块,最初被认为是普通炎症。然而,在生下女儿三天后,她收到了一个冰冷的诊断:结膜黑色素瘤(II期)。经过手术,她安然度过了八年。2022年,癌症却以IV期转移性黑色素瘤的姿态卷土重来。标准免疫疗法(PD-1抑制剂)对她效果有限,且带来了面瘫、神经病变等严重副作用。就在希...
免疫管家 2026-03-24
到2022年夏天时,Roberto Romero对于治疗自2015年以来一直与之抗争的黑色素瘤,已经快无计可施了。他之前已经做过几次手术,也接受过多轮药物治疗。但始于他脚趾甲下一个小黑点的癌症仍在继续生长,并已侵入他的器官。
免疫管家 2026-03-19
2021年,31岁的工业设计师奎因·约翰森(Quinn Johnsen)被诊断出患有罕见的滑膜肉瘤。历经手术、化疗的折磨后,2024年癌症复发转移。就在传统疗法宣告“无计可施”之时,一项关于afamitresgene autoleucel(afami-cel) 的临床试验改变了他的命运。这是一种TCR-T细胞疗法。仅仅...
免疫管家 2026-03-19
八年没有癌症迹象后,身为两个孩子母亲的Missy Christy不知该如何面对病情复发的消息。这一次,她罹患的是四期黑色素瘤。
免疫管家 2026-03-18
2018年,美国人克里斯·怀特(Chris White)被诊断出罕见的转移性黏膜黑色素瘤,癌细胞已扩散至肺、肝和淋巴结。在经历了手术、化疗、放疗乃至免疫检查点抑制剂治疗后,病情仍在无情进展。主治医生甚至开始与他讨论临终关怀的安排。然而,一次勇敢的尝试彻底改写了他的命运:他加入了一项肿瘤浸润淋巴细胞(TIL)疗法的临床试...
免疫管家 2026-03-18
近年来,一种因新冠疫情而广为人知的技术-mRNA疫苗,正以其独特的机制和令人振奋的早期数据,为癌症治疗绘制出一幅充满希望的新蓝图。
免疫管家 2026-03-16
2015年,当朱迪·珀金斯(Judy Perkins)被告知生命可能只剩下几个月时,她已做好了所有安排,平静地等待死亡的降临。这位曾于2003年确诊早期乳腺癌并接受乳房切除手术的女性,在十年后遭遇了毁灭性的复发-癌细胞已扩散至胸骨、胸壁、心包附近以及肝脏。尽管接受了当时所有的标准治疗,病情仍在无情地进展。 然而,...
免疫管家 2026-03-13

京ICP备2024050367号 | 互联网药品信息服务资格证书:(京)-非经营性-2024-0007
Copyright ©
康和源(北京)健康科技有限公司 版权所有 https://www.myimm.net