2015年1月,美国青年Josh Roe在大学最后一个学期被诊断出患有脑瘤。面对当地医生提出的化疗和放疗方案,Josh和家人在寻求了多方意见后,最终选择了前往纪念斯隆-凯特琳癌症中心(MSK)。在那里,放射肿瘤学家Suzanne Wolden博士认为,Josh是质子治疗的理想人选。 经过五周、共25次的质子治疗,...
免疫管家 2026-03-26
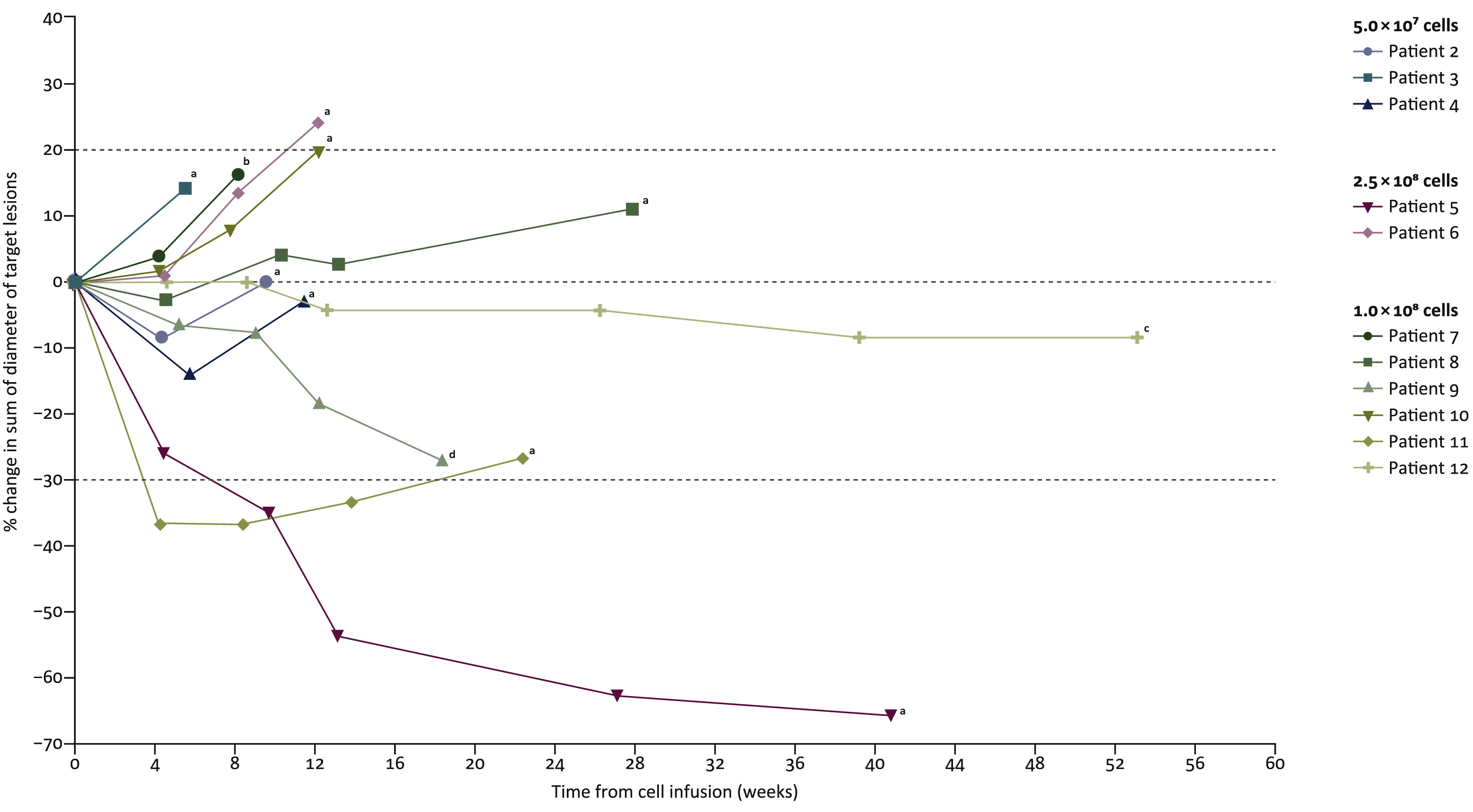
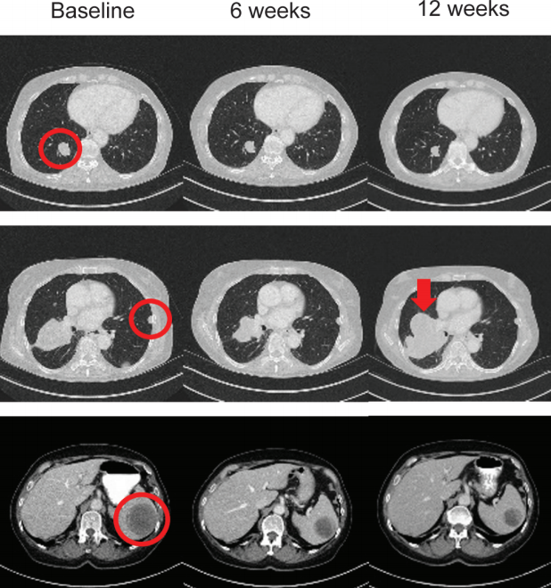
2026年3月24日,恒赛生物宣布,其自主研发的原创树突状细胞疫苗(DC疫苗)KSD-101注射液,正式获得美国食品药品监督管理局(FDA)授予的再生医学先进疗法(RMAT)认定,用于治疗复发或难治性EBV阳性淋巴瘤。这不仅是该产品继2025年底获得FDA快速通道资格后的又一里程碑,更标志着中国在个体化癌症疫苗赛道上,...
免疫管家 2026-03-26
在中国,非小细胞肺癌(NSCLC)是发病率和死亡率最高的恶性肿瘤。其中,约40%-50%的肺腺癌患者携带表皮生长因子受体(EGFR)基因突变。
免疫管家 2026-03-25
近日,《Neuro-Oncology》在线全文发表了埃克替尼联合阿美替尼一线治疗EGFR突变伴脑转移非小细胞肺癌患者的疗效与安全性的一项I/II期临床研究的研究结果。
免疫管家 2026-03-24
2013年,美国俄亥俄州的Missy发现眼睑有个小肿块,最初被认为是普通炎症。然而,在生下女儿三天后,她收到了一个冰冷的诊断:结膜黑色素瘤(II期)。经过手术,她安然度过了八年。2022年,癌症却以IV期转移性黑色素瘤的姿态卷土重来。标准免疫疗法(PD-1抑制剂)对她效果有限,且带来了面瘫、神经病变等严重副作用。就在希...
免疫管家 2026-03-24
2021年10月19日,46岁的护士Jennifer Davis接受了一剂特殊的注射。她是全球首位接受这款三阴性乳腺癌预防疫苗的人。这三年前,她被诊断出患有这种最具侵袭性、复发率高达40%的乳腺癌亚型。历经误诊、化疗副作用危及生命、双乳切除术和26轮放疗后,她虽已“无癌”,却始终活在复发的恐惧中,“每次头痛都让我心惊胆...
免疫管家 2026-03-23
近日,肿瘤学领域顶级期刊《临床肿瘤学杂志》发表了恒瑞医药自主研发的以HER2为靶点的抗体偶联物(ADC)瑞康曲妥珠单抗治疗晚期胃/胃食管结合部腺癌(GC/GEJ)和结直肠癌(CRC)患者的Ⅰ期临床数据。
免疫管家 2026-03-20
近日,科伦博泰宣布其自主研发的TROP2 ADC芦康沙妥珠单抗(sac-TMT,亦称SKB264/MK-2870)的关键临床研究(OptiTROP-Lung03)最终分析结果成功入选2026年欧洲肺癌大会(ELCC)。
免疫管家 2026-03-20
当一位26岁的年轻男性因咳嗽和胸痛被诊断为晚期肺癌时,这听起来像是一个医学悲剧。然而,当基因检测结果显示他的肿瘤携带ALK基因融合时,这个故事有了完全不同的走向。这位患者在阿来替尼治疗22个月后出现耐药,通过重复分子检测发现了ALK基因突变,换用布格替尼后12周,肿瘤缩小了90%,3个月实现了完全缓解,并持续超过12个...
免疫管家 2026-03-20
2026年欧洲肺癌大会(ELCC)将于当地时间3月25日至28日在丹麦哥本哈根举行。此次会议上,科伦博泰自主研发的TROP2 ADC芦康沙妥珠单抗(sac-TMT,亦称SKB264/MK-2870)(佳泰莱®)关键临床研究(OptiTROP-Lung03)的OS最终分析结果成功入选。
免疫管家 2026-03-19

京ICP备2024050367号 | 互联网药品信息服务资格证书:(京)-非经营性-2024-0007
Copyright ©
康和源(北京)健康科技有限公司 版权所有 https://www.myimm.net