近日,由石药集团研发的盐酸伊立替康脂质体注射液(多恩益®)针对一线胰腺癌患者的临床研究结果以研究论文(Article)形式发表在国际著名权威期刊《Nature Communications》。
免疫管家 2026-01-23
对于许多晚期实体瘤患者来说,在看到CAR-T细胞疗法有效缓解血液系统肿瘤患者的病情时,需要新疗法的心变得更加迫切。2024年,首款用于实体肿瘤的TIL疗法终于获美国食品药品监督管理局(FDA)批准上市,成为近年来最具潜力的实体瘤治疗技术之一。
免疫管家 2026-01-23
2026年1月20日,Moderna公布其个体化新抗原疫苗mRNA-4157(intismeran autogene)联合PD-1抑制剂帕博利珠单抗,用于高危黑色素瘤患者术后辅助治疗,在五年随访中展现出持续且显著的临床获益。与单用帕博利珠单抗相比,该组合疗法将患者的复发或死亡风险大幅降低了49%。
免疫管家 2026-01-22
自然杀手(NK)细胞是先天免疫系统的基础组成部分,NK细胞起源于骨髓中的淋巴样干细胞,广泛分布于骨髓、外周血、肝、脾、肺和淋巴结等组织,在免疫监测和肿瘤根除中发挥着关键作用。T细胞不同,NK细胞无需事先抗原致敏,使其能够通过细胞毒性机制和免疫调节快速识别并消灭恶性细胞。
免疫管家 2026-01-19
癌症疫苗是一种免疫疗法,旨在帮助我们的免疫系统战胜癌症。传统癌症治疗如手术、化疗和放疗,这些方法在杀死癌细胞的同时也会损伤健康细胞,导致患者免疫力下降,生活质量大幅降低。更为棘手的是,许多患者在治疗后仍面临复发和转移的风险。 与这些传统手段不同,治疗性疫苗通过训练免疫系统特异性靶向肿瘤相关抗原,实现对癌细胞的精准...
免疫管家 2026-01-16
近日,正大天晴安罗替尼联合贝莫苏拜单抗联合AG方案一线治疗转移性胰腺癌(mPC)的最新进展在美国临床肿瘤学会胃肠道肿瘤研讨会(ASCO GI)公布。
免疫管家 2026-01-15
科学家们一直在寻找能够精准打击癌细胞同时避免伤及正常组织的有前景的方法。其中,疫苗有望为传统上难以管理的肿瘤类型提供有效的治疗选择,并有可能针对个体化患者进行个性化调整。
免疫管家 2026-01-14
癌症疫苗是免疫治疗的一部分,可以导免疫系统识别并清除癌细胞。这类疫苗通过识别特定抗原靶点发挥作用,兼具预防与治疗双重功能。
免疫管家 2026-01-09
120万一针的CAR-T疗法让血液肿瘤患者看到了希望,而如今,能精准识别实体瘤内部敌人的TCR-T细胞疗法为实体肿瘤患者带来了曙光。
免疫管家 2026-01-08
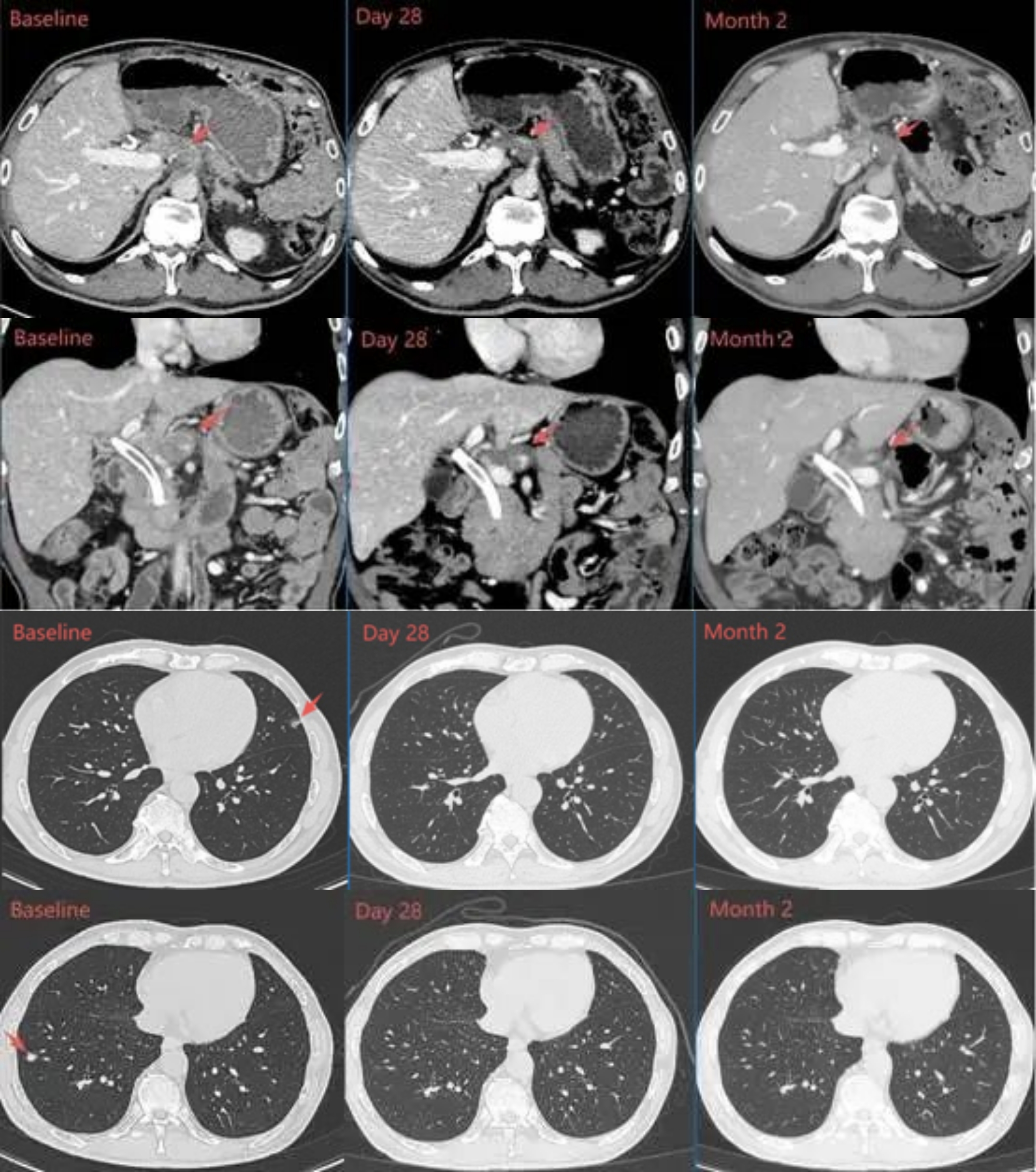
近日,贝莫苏拜单抗联合安罗替尼术后辅助治疗伴高复发风险的肝细胞癌的Ⅱ期临床研究结果发表于《Nature》子刊《Nature Communications》。
免疫管家 2026-01-07

京ICP备2024050367号 | 互联网药品信息服务资格证书:(京)-非经营性-2024-0007
Copyright ©
康和源(北京)健康科技有限公司 版权所有 https://www.myimm.net