1994年,Jarmo腿上的一颗癌性痣被切除了。他的医生及早发现了癌变,并认为癌细胞不太可能扩散。 然而,多年后的 2009 年,癌症在 Jarmo 左侧腹股沟的一个淋巴结中复发。医生成功切除了这个癌变淋巴结,但伤口上方又出现了一个肿瘤,并且对包括手术和常规放疗在内的多种疗法均产生抵抗。
免疫管家 2026-03-25
2026年2月3日,临床阶段生物技术公司Replimune宣布,其核心溶瘤病毒疗法RP1(vusolimogene oderparepvec)联合纳武利尤单抗(抗PD-1药物)用于治疗抗PD-1疗法失败的晚期黑色素瘤的生物制品许可申请(BLA),已获美国FDA受理,并定了2026年4月10日的PDUFA(处方药用户费用...
免疫管家 2026-03-25
1994年,Jarmo腿上的黑色素瘤被切除,医生认为早期发现不太可能扩散。然而15年后,癌症在他的左腹股沟淋巴结复发。尽管手术切除了癌变的淋巴结,但伤口上又长出了新的肿瘤,对手术和常规放疗等多种治疗产生了抵抗。 就在传统治疗手段几乎用尽时,Jarmo的医生们想到了一个当时还处于临床试验阶段的新技术-硼中子俘获疗法...
免疫管家 2026-03-24
2013年,美国俄亥俄州的Missy发现眼睑有个小肿块,最初被认为是普通炎症。然而,在生下女儿三天后,她收到了一个冰冷的诊断:结膜黑色素瘤(II期)。经过手术,她安然度过了八年。2022年,癌症却以IV期转移性黑色素瘤的姿态卷土重来。标准免疫疗法(PD-1抑制剂)对她效果有限,且带来了面瘫、神经病变等严重副作用。就在希...
免疫管家 2026-03-24
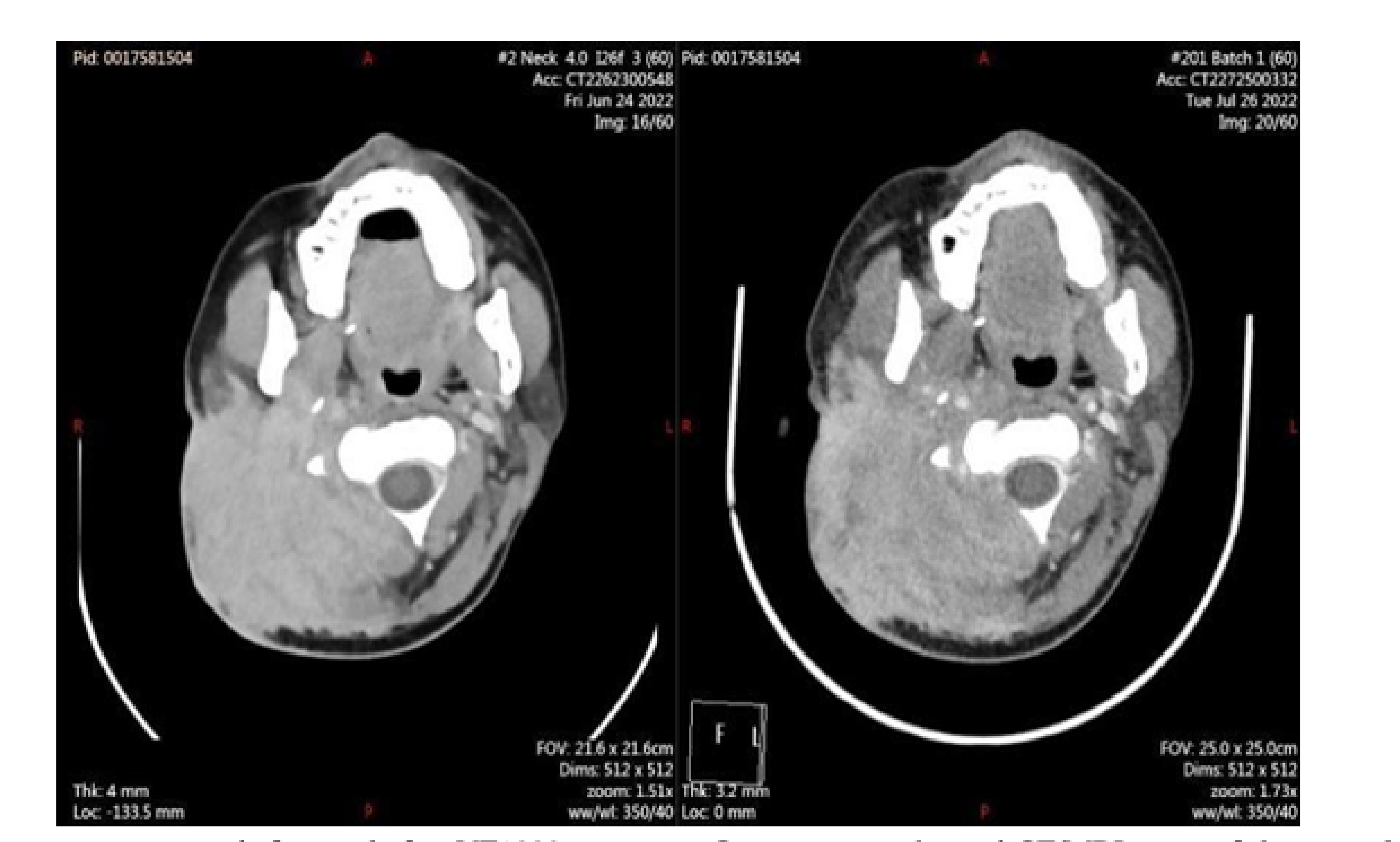
2026年3月20日,鹏博(海南)硼中子医院顺利完成了第2例硼中子俘获治疗(BNCT)患者的临床治疗。继首例舌癌患者治疗后,该院在头颈部恶性肿瘤BNCT临床治疗领域再添新案例。
免疫管家 2026-03-23
近日,乐普生物宣布其核心产品注射用维贝柯妥塔单抗(美佑恒®/MRG003)联合普特利单抗注射液(普佑恒®/HX008),用于局部晚期可切除头颈部鳞状细胞癌围手术期治疗的临床试验申请,已获国家药品监督管理局临床试验默示许可。
免疫管家 2026-03-23
近日,在海南博鳌乐城国际医疗旅游先行区成功完成了国内首台获批BNCT治疗系统的首次临床应用。来自河南的晚期复发性舌癌患者薛先生成为这一创新疗法的首位受益者。治疗仅持续约35分钟,过程顺利,治疗后患者精神面貌良好,饮食和日常生活已恢复正常,未出现明显严重不良反应。
免疫管家 2026-03-23
到2022年夏天时,Roberto Romero对于治疗自2015年以来一直与之抗争的黑色素瘤,已经快无计可施了。他之前已经做过几次手术,也接受过多轮药物治疗。但始于他脚趾甲下一个小黑点的癌症仍在继续生长,并已侵入他的器官。
免疫管家 2026-03-19
近年来,一种名为“硼中子俘获疗法”(BNCT)的前沿技术,因其“只杀癌细胞,不伤正常组织”的精准特性,在国际肿瘤治疗领域备受瞩目。其中,日本作为全球BNCT技术临床应用的先行者,为难治性癌症患者提供新的治疗选择。
免疫管家 2026-03-19
2021年,31岁的工业设计师奎因·约翰森(Quinn Johnsen)被诊断出患有罕见的滑膜肉瘤。历经手术、化疗的折磨后,2024年癌症复发转移。就在传统疗法宣告“无计可施”之时,一项关于afamitresgene autoleucel(afami-cel) 的临床试验改变了他的命运。这是一种TCR-T细胞疗法。仅仅...
免疫管家 2026-03-19

京ICP备2024050367号 | 互联网药品信息服务资格证书:(京)-非经营性-2024-0007
Copyright ©
康和源(北京)健康科技有限公司 版权所有 https://www.myimm.net