近年来,全球癌症发病率有所上升,预计其发病率和死亡率将在未来继续上升。手术、放疗、化疗等传统治疗方法虽然取得一定效果,但仍存在局限性,这促使人们探索新的治疗策略。通过免疫刺激增强人体自身对恶性细胞的反应一直是近年来癌症研究的重点。而溶瘤病毒(OVs)就是目前正在癌症治疗中探索的一种免疫治疗工具。
免疫管家 2025-10-20
过去几年时间里,免疫检查点抑制剂和靶向治疗等新型手段层出不穷,极大地改变了实体瘤的治疗方式。然而,尽管取得了这些进步,但大多数患者仍会出现疾病进展,因此难治性疾病有效疗法仍然存在大量未满足的需求。而2024年,美国食品药品监督管理局(FDA)批准了一款肿瘤浸润淋巴细胞(TIL)疗法上市,这款疗法的上市,或将成为实体瘤患...
免疫管家 2025-10-17
近日,欧洲肿瘤内科学会(ESMO)即将在德国柏林召开。此次会议上即将公布VCN-01 (zabilugene almadenorepvec) 的 IIb 期VIRAGE 试验的扩展数据。
免疫管家 2025-10-16
近日,国家药品监督管理局药品审评中心显示:DB006溶瘤腺病毒注射液在晚期恶性实体肿瘤中安全性与有效性的I期临床研究申请获得受理。
免疫管家 2025-10-10
近年来,免疫疗法一直是癌症研究的焦点,并且出现了各种治疗癌症的方法,例如免疫检查点抑制剂(ICI)、疫苗和过继细胞疗法(ACT)。过继性细胞疗法的主要代表之一是嵌合抗原受体T细胞(CAR-T)疗法,它从患者体内提取T细胞后将其改造,使其能够精准识别癌细胞并且数量大量扩增,最后杀死癌细胞。然而,CAR-T细胞疗法目前尚未...
免疫管家 2025-10-10
VB10.NEO 是一种基于 DNA 的个性化新抗原疫苗,2025年美国临床肿瘤学会上公布了VB10.NEO与 atezolizumab用于晚期实体瘤患者的1b 期 VB N-02 试验的最终分析。
免疫管家 2025-09-29
7月28日,研究人员在《Nature Communications》发表了溶瘤腺病毒Ad-TD-nsIL12在原发性或进展性小儿IDH野生型弥漫性脑桥脑胶质瘤中的两项I期临床试验结果。
免疫管家 2025-09-25
长期以来,病毒一直被认为是“敌人”,它们会引发流感、肝炎、艾滋病等疾病,甚至在某些癌症(如人乳头瘤病毒和宫颈癌、EB病毒和鼻咽癌)的发病机制中起到作用。然而,渐渐地,科学家们开始考虑是否有可能驯服病毒,并将这些微小的“杀手”变成攻击癌细胞而不伤害健康细胞的特效剂。这是溶瘤病毒疗法的概念:使用病毒来对抗癌症,并使其准确地...
免疫管家 2025-09-25
9月19日,注射用维贝柯妥塔单抗(MRG003)拟纳入突破性治疗,适用于联合HX008(普特利单抗)注射液用于治疗既往至少经过铂类和PD-1/L1治疗失败的复发或转移性鼻咽癌。
免疫管家 2025-09-23
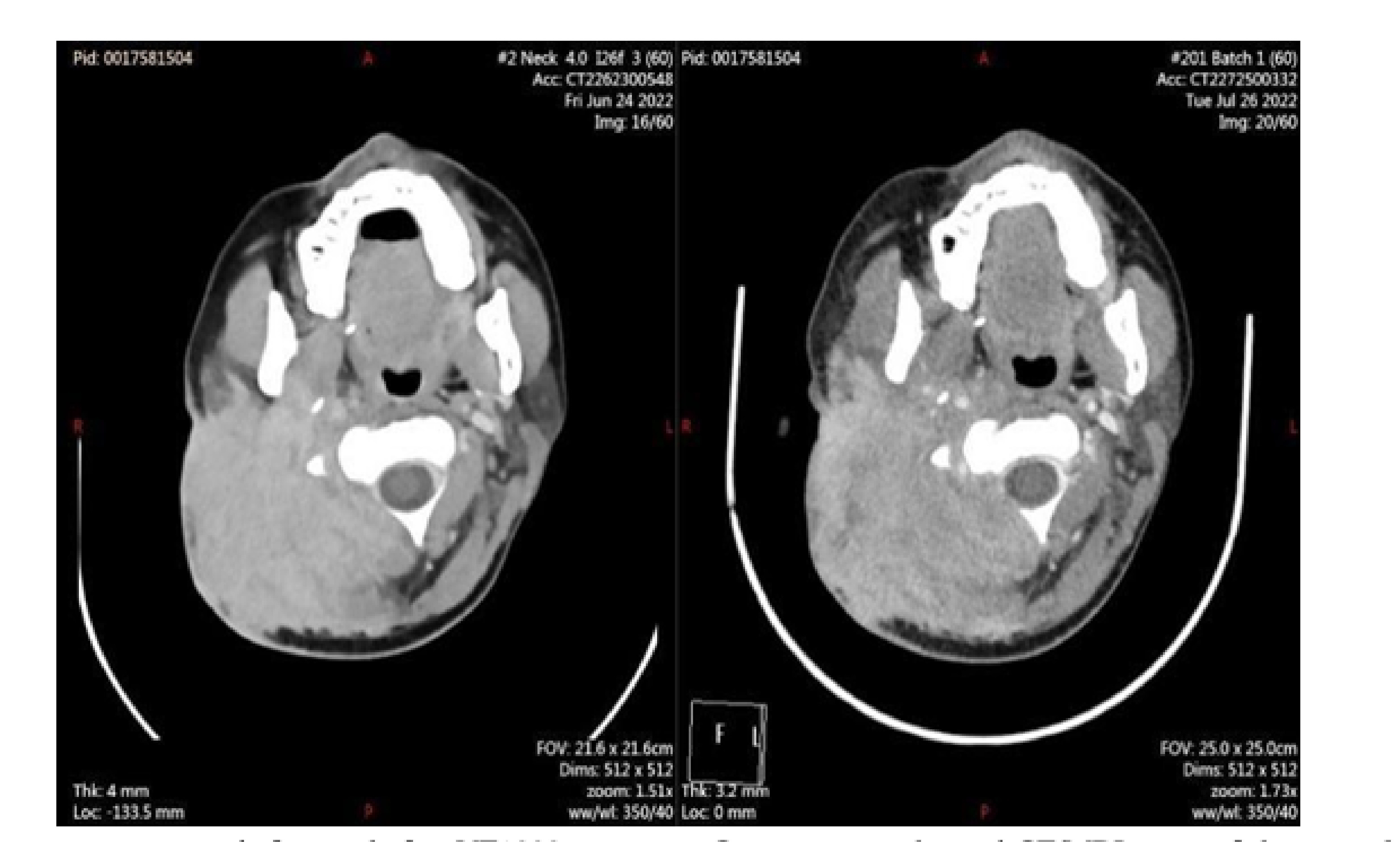
8月24日,北卡罗来纳大学莱恩伯格综合癌症中心研究人员在《癌症免疫治疗杂志》上发表了自体 TIL 细胞疗法在头颈部鳞状细胞癌 (HNSCC)患者中的2期C-145-03 研究疗效。
免疫管家 2025-09-18

京ICP备2024050367号 | 互联网药品信息服务资格证书:(京)-非经营性-2024-0007
Copyright ©
康和源(北京)健康科技有限公司 版权所有 https://www.myimm.net