近日,华赛伯曼研发的一款新型TIL细胞疗法(HS-IT101注射液),在治疗晚期实体瘤方面取得了重大突破。
免疫管家 2025-09-30
VB10.NEO 是一种基于 DNA 的个性化新抗原疫苗,2025年美国临床肿瘤学会上公布了VB10.NEO与 atezolizumab用于晚期实体瘤患者的1b 期 VB N-02 试验的最终分析。
免疫管家 2025-09-29
过去几年里,免疫疗法的爆发式发展席卷了癌症治疗领域。这种治疗通过激活人体免疫系统来攻击并杀灭肿瘤细胞,其中免疫检查点抑制剂(如PD-1/PD-L1抗体)和CAR-T细胞疗法表现十分亮眼。然而在2024年,美国食品药品监督管理局(FDA)批准了一款名为肿瘤浸润淋巴细胞(TIL)疗法上市,这款细胞疗法的获批,为晚期实体瘤患...
免疫管家 2025-09-29
在人类对抗癌症的漫长史诗中,疫苗始终是一个特殊的存在。在我们的传统认知中,疫苗是“防病于未然”的盾牌。自1796年爱德华·詹纳博士开发出第一种预防天花的疫苗以来,各种有助于控制甚至根除人类和动物的局部和全球传染病的疫苗层出不穷。这些疫苗的成功让科学家看到了它们在癌症治疗领域的可能性,因此进行了大量研究,旨在通过刺激免疫...
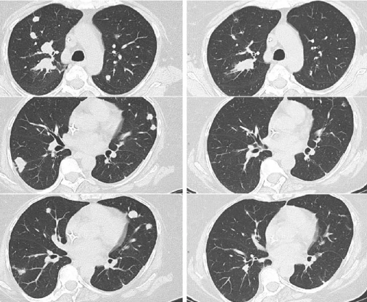
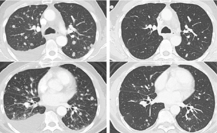
免疫管家 2025-09-28
在过去的几年中,细胞免疫疗法为癌症治疗提供了一种新的策略。最近的临床研究表明,肿瘤浸润淋巴细胞(TIL)治疗在晚期实体瘤的治疗中显示出良好的疗效,这为癌症患者带来了新的希望。
免疫管家 2025-09-18
近年来,癌症治疗领域迎来了一场革命性的变化。从传统的手术、化疗和放疗到靶向治疗和免疫治疗,科学技术的进步不断重塑着癌症治疗的模式。其中,细胞免疫治疗作为有前途的方向之一,受到越来越多的关注。在各种细胞免疫疗法中,肿瘤浸润淋巴细胞(TIL)疗法近年来尤为突出,甚至在一些晚期癌症患者中取得了惊人的“临床治愈”效果。
免疫管家 2025-09-11
近日,日本筑波大学研究中心已开始一项针对新诊断胶质母细胞瘤的医疗器械应用的 I 期 硼中子俘获疗法(BNCT)的临床试验,这项研究旨在评估硼中子俘获疗法联合替莫唑胺的联合治疗是否是新诊断胶质母细胞瘤患者的安全治疗方法。
免疫管家 2025-09-08
癌症一直是威胁人类健康的重大疾病之一,传统的治疗方法如手术、化疗和放疗在某些情况下存在局限性,且可能对患者身体造成较大的伤害。近年来,免疫治疗成为癌症治疗领域的研究热点。TCR-T细胞疗法作为免疫治疗的重要分支,为癌症患者带来了新的希望。
免疫管家 2025-09-05
在过去的几年时间里,细胞免疫疗法已经逐步成为了癌症治疗的有力策略。其中,肿瘤浸润淋巴细胞(TIL)疗法在实体瘤治疗中的临床应用显示出良好的疗效。
免疫管家 2025-09-04
9月2日,再鼎医药宣布,香港特别行政区政府卫生署已批准TIVDAK®(维替索妥尤单抗)在香港地区用于治疗化疗期间或之后出现疾病进展的复发性或转移性宫颈癌成年患者。
免疫管家 2025-09-02

京ICP备2024050367号 | 互联网药品信息服务资格证书:(京)-非经营性-2024-0007
Copyright ©
康和源(北京)健康科技有限公司 版权所有 https://www.myimm.net